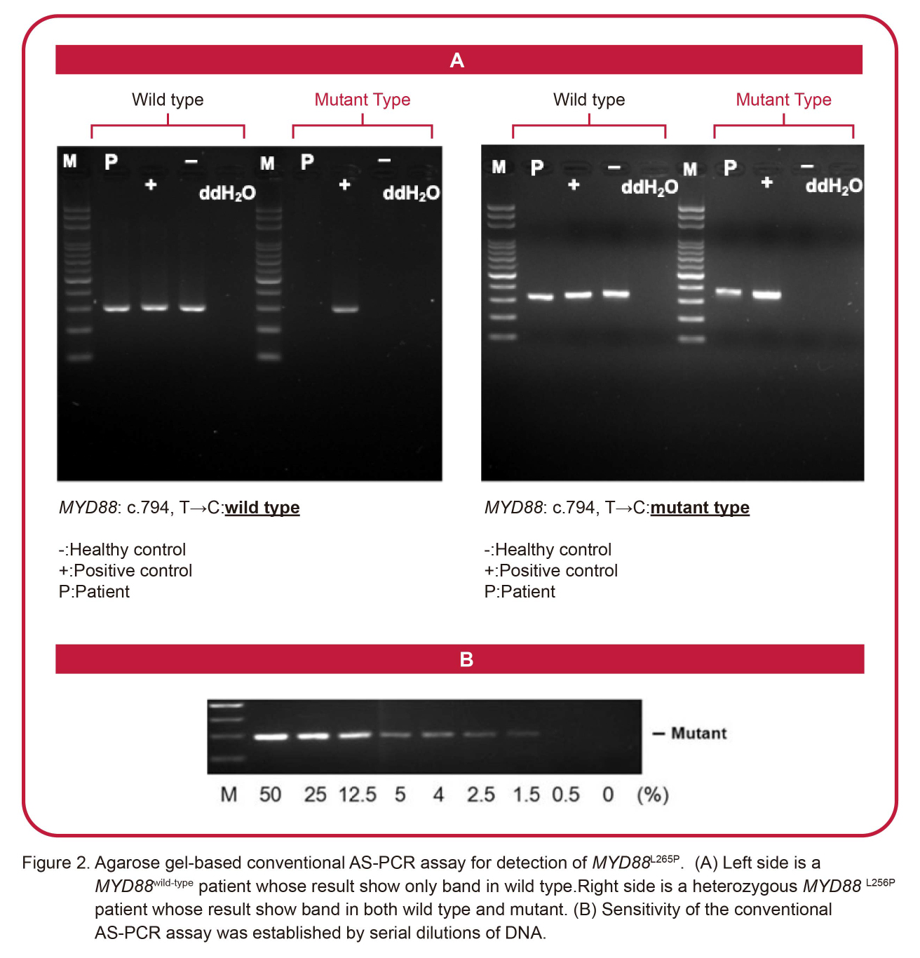
MYD88 mutations and their detection
using the AS-PCR method in
Waldenström’s macroglobulinemia

三軍總醫院 - 陳宇欽 醫師